35, rue du Mont Valérien - 92210 Saint-Cloud - Tél. 01 46 02 09 23
cabinetdentairebetito@gmail.com
Le traitement en orthodontie

Pour mener à bien son traitement, l’orthodontiste pourra demander la collaboration d’autres professionnels de santé : pédiatres, médecins spécialistes ORL, Chirurgiens maxillo-faciaux, chirurgiens-dentistes, médecins stomatologistes, orthophonistes, kinésithérapeutes…
- Les appareils amovibles, que le patient peut retirer. Les appareils ont divers ressorts et vérins, positionneurs.
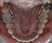
- Les appareils fixes que le patient ne peut pas retirer. Les appareils métalliques, esthétiques en céramiques (moins visibles) les appareils utilisés en technique linguale (totalement invisibles). Ils sont constitués de boîtiers ou verrous collés ou scellés sur les dents, reliés par des fils métalliques dont l’alliage, la section, la forme sont déterminés par les différentes étapes du traitement.
- Les appareils auxiliaires s’utilisent avec les appareils fixes ou amovibles : élastiques, ancrage extra oral arc facial ou bande de tissu péricranien.
- Les traitements complémentaires: extractions dentaires, chirurgie buccale ou maxillo-faciale, traitements médicaux, adéoïdectomie ou amygdalectomie (Ablation des végétations ou des amygdales), mini vis, orthophonie, …
- Les techniques collées
Il existe diverses possibilités de technique collée, externe , interne Les brackets métalliques peuvent être remplacés dans un souci d'esthétique par des éléments transparents ou de la couleur des dents.
Les techniques linguales offrent la possibilité d’un appareil orthodontique efficace et totalement invisible.
La contention
Cette période correspond à la conservation du résultat obtenu, l'orthodontiste demande au patient de porter un appareil de nuit ou colle un fin fil sur l'arrière des dents pendant une durée plus ou moins longue en fonction de la tendance à la récidive (tendance au retour à l’état antérieur) qui est très variable selon les personnes et les malformations. Cette phase est trop souvent négligée par les patients qui est pourtant essentielle pour la pérennité du résultat. Le vieillissement de la denture s’accompagnant quelquefois de modifications de la position des dents, le patient doit rester vigilant et ne pas omettre les visites annuelles de contrôle chez son praticien traitant.
